The Retina of Eye: A Vital Part
The retina is a complex and crucial component of the eye responsible for converting light into signals that the brain interprets as vision. Positioned at the back of the eye, the retina contains photoreceptor cells, namely rods and cones, which detect light and colour. These signals are then transmitted through the optic nerve to the brain, enabling the perception of images. The intricate network of cells in the retina ensures precise visual information processing. Regular eye check-ups are essential to monitor retinal health, as conditions affecting the retina can impact overall vision. Understanding the role of the retina underscores its significance in maintaining optimal eye function and visual clarity.
At Shekar Eye Hospital, we understand that your vision is invaluable. As a cornerstone of our specialities, our Retina Department is dedicated to providing world-class care and state-of-the-art treatments for a wide range of retinal disorders.
Understanding the Retina of Eye
The retina of eye is a thin layer of tissue located at the back of your eye. It contains millions of light-sensitive cells and plays a pivotal role in vision. It receives the light that the lens has focused on, converts the light into neural signals, and sends these signals to the brain for visual recognition.

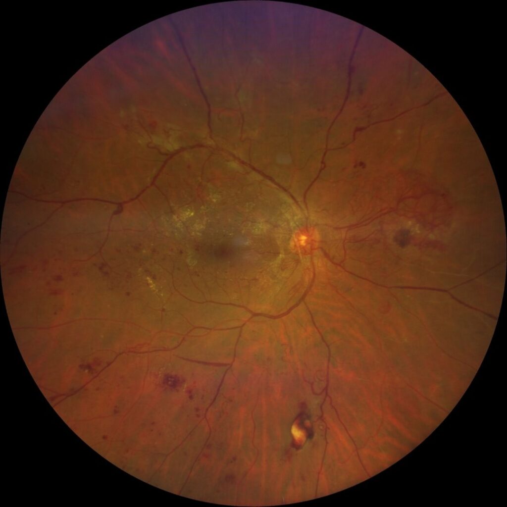
Common Retinal Disorders
- Age-Related Macular Degeneration (AMD): As the name suggests, AMD is a common condition among the elderly and leads to central vision loss.
- Diabetic Retinopathy: Persistent high blood sugar levels can damage the tiny blood vessels in the retina, leading to this condition.
- Retinal Detachments: It’s a medical emergency where the retina gets lifted or pulled from its normal position.
- Retinal Vein Occlusion: A blockage of the small veins that carry blood away from the retina.




Our Approach

Diagnosis: We utilize the latest diagnostic equipment and techniques to accurately identify retinal disorders. This includes Optical Coherence Tomography (OCT), Fundus Fluorescein Angiography, and more.
Treatment: Depending on the diagnosis, treatments may range from less invasive solutions like laser therapy or injections to surgical interventions.
Why Choose Shekar Eye Hospital for Retina Care?
- Expertise: Our team of retinal specialists is renowned for their expertise and is dedicated to treating even the most complex cases with precision and care.
- Advanced Technology: We stay updated with the latest advancements in ophthalmology, ensuring our patients have access to the best possible care.
- Personalized Care: Each patient is unique. We tailor our treatment plans to suit individual needs, ensuring optimal outcomes.
- Holistic Approach: Beyond treatment, we focus on educating our patients about their conditions, preventive measures, and post-treatment care.
Post-Treatment Care
The recovery and post-treatment period are as crucial as the treatment itself. We emphasize the importance of regular follow-ups, adherence to medication, and immediate consultation in case of any discomfort or visual anomalies.
Conclusion
The retina of eye is a vital component of our vision system, and any issue with it requires immediate attention. At Shekar Eye Hospital, we are committed to ensuring that your sight remains as impeccable as possible. Trust us with your vision, and we promise to provide unparalleled retina care.


